☎ +7 916 985-16-54
UNICLINICA пн-пт 8:00-20:00 мск, сб-вс 8:00-17:00 мск
google play app store
Наши соц. сети
☎ +7 916 985-16-54
UNICLINICA пн-пт 8:00-20:00 мск, сб-вс 8:00-17:00 мск

Частое мочеиспускание

В том году в первый раз лечился от простатита. Лечился долго, около 3-х месяцев. Первые два месяца ходил на прием к врачу. По окончанию 3-го месяца симптомы по ощущениям пропали и на прием не пошел.
В этом году переболел ангиной, и после ангины опять начали проявляться симптомы, но не такие сильные. Симптомы: относительно частое мочеиспускание, неприятное побаливанье внизу живота. Особых проблем при мочеиспускание не ощущаю, но струя явно не такая как должна быть.
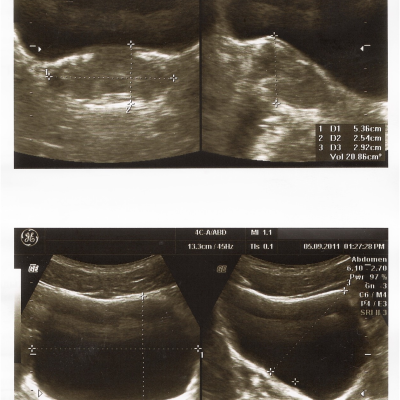
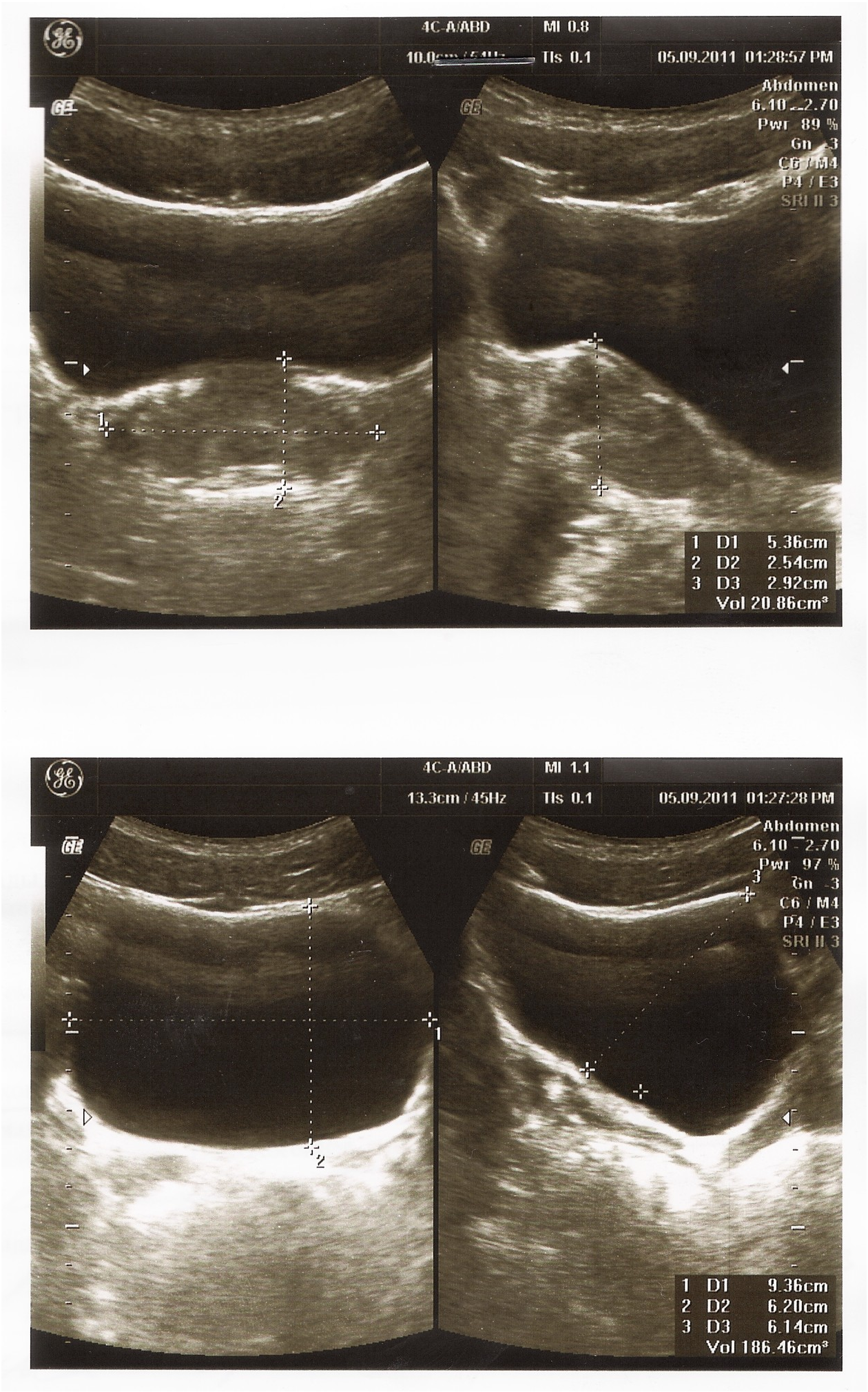
Сходил на прием к урологу, по крови и моче он сказал все в норме, а по узи — простатит. Назначил не дешевое лечение.
Посоветуйте пожалуйста насколько оправдано такое не дешевое лечение. В том году лечился в другой больнице и обошелся только антибиотиками и ежедневной пробежкой.
Анализы и узи в прикрепленных файлах.
Заранее благодарен.

Назначения:
Массаж простаты — 6 дней
Андро-Гин — 15 дней

Назначенные лекарства:
1.Потант 0.5 по 1 таблетки 1 раз в день после еды — 7 дней
2.Микомакс 150 — первый, четвертый и 7-ой день
3.Свечи кызылмай — на ночь 1 месяц
4.Фокусин 0.4 по одной таблетки утром — 1 месяц
5.Зиман по 3 капсулы вечером — 1 месяц
6 сентября 2011 - 21:19
Просмотров: 999

Ответ врача

Мы не комментируем назначения других врачей, но лечение в больнице было логичнее.Массаж надо пройти, причём раз 10(если нет противопоказаний(трещины прямой к-ки).А обратитесь к тому доктору, который Вас лечил в больнице.